
Tooth whitening lightens and brightens teeth by helping to remove stains and discoloration.
Whitening is among the most popular cosmetic dental procedures because it can greatly improve how your teeth look. Only registered dentists and dental professionals can legally undertake tooth whitening.
There are several causes for this:
Dentist-led home whitening is a safe and reliable method of teeth whitening that guarantees the optimal for all of your teeth.
During a consultation we discuss what you would like to improve about your teeth and their appearance. We need to undertake a full dental assessment. This is to ensure there are no underlying dental health concerns and ensuring you get the best results from any whitening safely.
The application of professional strength whitening gel is done at home, by you, the patient, with the dentist overseeing it during scheduled visits. To achieve this, we utilise custom-made bleaching trays modelled on the impressions of your teeth.
The trays are designed to hold the whitening gel safely on the teeth (either 10% or 16% carbamide peroxide, and sensitivity-reducing ingredients) helping prevent hypersensitivity. We teach you how to apply the gel effectively on your own.
We find that the most consistent way to lighten your teeth is to fabricate some accurate fitting thin teeth trays (similar but MUCH thinner than sports gum shields) that are worn overnight on your teeth.
We use Boutique Whitening, a market leader and multi-award winning tooth whitening system.
It is important to note that existing prosthetic restorations, such as bridges, crowns, fillings, etc. will not be affected by the whitening procedure. Should the contrast be noticeable, it is usually possible for us to replace older dental work with whiter ones that will match the new whiteness of the teeth.
Hypersensitivity to coldness during the whitening process may occur, but it only happens to a small percentage of patients
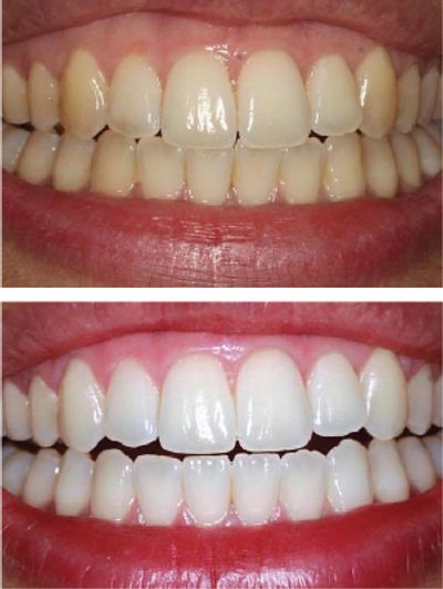
People’s teeth respond at different rates and we instruct you on dos and don’ts. We then review after 2-4 weeks and analyse the results wit photos comparing before and after appearances of teeth.
At York Place dental Practice we recommend seeing Faye Donald, our hygienist, prior or alongside starting your course of tooth whitening. We find that our patients achieve maximum results after an initial professional clean and Air Flow polish.
If you consume dark coloured foods and drinks, such as curries, coffee and red wine, then your teeth may start to yellow over the following months after treatment. So you may need regular top ups to maintain the whitened colour. We suggest one top up application per month on average and replacement gel syringes can be bought at the practice.
How to load a bleaching tray: https://www.youtube.com/watch?v=P7BP21JFLP4
GDC Considering Tooth Whitening patient leaflet: https://www.gdc-uk.org/patients/illegal-practice/working-legally/tooth-whitening
High quality, safe, effective Boutique teeth whitening system at York Place Dental Practice in Wetherby
Copyright © 2018 Contemporary Aesthetics Ltd - All Rights Reserved.
Powered by GoDaddy
We use cookies to analyze website traffic and optimize your website experience. By accepting our use of cookies, your data will be aggregated with all other user data. Privacy Policy